关节出现肿块、肿胀,只是普通“炎症”?别掉以轻心!
深圳气温骤降
我奶把压箱底的秋裤放在我面前
语重心长地说
“你年轻冬天不穿秋裤,老了会得关节炎”

可是奶奶不懂的是
我们年纪轻轻,关节早已伤痕累累
关节炎、腱鞘炎、半月板损伤、韧带劳损

关节出现问题还是别大意!
有时关节的“肿”可能是肿瘤的“肿”

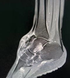
丽姐(化名)患足部腱鞘巨细胞瘤多年,已进行多次手术却又复发,并且肿瘤侵犯关节、累及关节面,严重影响了她的生活质量。
由于该疾病的特殊性,肿瘤性质介于良恶性之间,属于交界性肿瘤。

丽姐来到中国医学科学院肿瘤医院深圳医院骨科就诊时,肿瘤范围分布广泛,后确诊弥漫型腱鞘巨细胞瘤。

A:腱鞘巨细胞瘤是手部一种较为常见的肿瘤,常见于手指、腕、踝、足和膝,特别是手指近节。

主要表现为缓慢性生长的无痛性肿块,若生长在关节附近或关节内,则会出现关节疼痛、肿胀、僵硬和关节活动受限等症状。
腱鞘巨细胞瘤(TGCT)分为局限型和弥漫型。
弥漫型腱鞘巨细胞瘤通常以色素绒毛结节性滑膜炎(PVNS)为表现,常发生于年轻患者,女性多于男性,常常累及膝关节等大关节,发病率为百万分之四,是相对罕见的肿瘤。
腱鞘巨细胞瘤是一种生物学行为局部侵袭的交界性肿瘤,影响关节、腱鞘和滑膜。发病率为百万分之十,常发生在手、足。
最后骨科团队经过仔细研判,决定为丽姐采用药物系统治疗。

Q:如何治疗腱鞘巨细胞瘤?
A:外科手术是治疗该病的主要手段,但复发率较高,特别是弥漫型腱鞘巨细胞瘤(色素绒毛结节性滑膜炎),术后复发率是局限型的2.6倍。
• 局限型腱鞘巨细胞瘤:
直接切除肿物。
• 弥漫型腱鞘巨细胞瘤(色素绒毛结节性滑膜炎):
通常可选择关节镜微创病变清除术和切开关节病灶清除术,多项研究表明开放手术的复发率相对较低。也有研究表明,关节镜+开放手术对膝关节色素绒毛结节性滑膜炎,产生了较好的肿瘤控制和关节功能保护。
①体外放射治疗:可以降低弥漫型腱鞘巨细胞瘤(色素绒毛结节性滑膜炎)的复发率,但对关节的放射性损伤和肉瘤变需要关注。
② 核医学治疗:将含有放射性核素的复合物直接注入关节内,杀灭肿瘤细胞,但疗效需通过进一步研究论证。
③ 关节腔注射:较新的治疗方法。关节腔内注射CSF1R单抗AMB-05X,在腔内浓度达到传统药物5倍以上,而血浆中的药物浓度仅为腔内的1/20,降低了因需要全身用药的副作用发生率。
适用于晚期、复发性和顽固性的腱鞘巨细胞瘤,对这些情况,手术带来的复发率高于预期收益。
• 目前用于系统治疗的药物有:尼洛替尼;伊马替尼;依米妥珠单抗;派西达替尼;地舒单抗等。
这些药物应用于该疾病的治疗时间不长,因此在疗效及副作用方面有各自的特点,具体药物的使用需要专业的肿瘤科医生进行评估。






① 由于腱鞘巨细胞瘤属于罕见肿瘤,治疗需要连续性和个体化的方案,建议患者就诊于专业的、综合治疗经验丰富的肿瘤专科医院。
② 腱鞘巨细胞瘤的外科手术需要有经验的医生彻底清除病灶,才能更好地降低复发率。
③ 手术后随访管理、肿瘤复发后的评价、其他局部治疗方案的制定以及系统治疗药物的选择不可掉以轻心!需要具备肿瘤学背景的骨与软组织肿瘤专科医师进行评估判断。
若关节处出现不明肿块
记得一定要到医院检查!
由专业医生评估
希望大家身体健康、无病无灾~


中国医学科学院肿瘤医院深圳医院骨科 主任
医学博士 主任医师
◆ 擅长领域:骨转移癌微创和手术治疗、软组织肉瘤化疗及手术治疗、脊柱四肢保肢手术、骨肿瘤微创手术等。
◆ 专家简介:北京协和医学院硕士研究生导师、深圳大学医学部硕士研究生导师。美国梅奥医学中心(Mayo Clinic)骨肿瘤科、美国哈佛大学麻省总院(MGH)骨科、美国华盛顿癌症中心(WCI)骨肿瘤科高级访问学者。20余年骨科临床工作经验,第一作者发表SCI等文章31篇,其中中华系列文章12篇,参编专著5本(主编1本)。目前在国家自然科学基金、北京市科委等多项课题中承担任务。
◆ 学术任职:国际保肢协会会员、中国医药教育协会骨与软组织肿瘤专委会常委兼秘书长、中华医学会骨科学分会骨肿瘤学组青年委员、中国抗癌协会肉瘤专业委员会青年委员、中国老年学和老年医学学会老年骨科分会骨肿瘤学组委员、北京市抗癌协会肉瘤专业委员会委员、北京市手外科学会委员等。American Journal of Clinical Oncology、Frontiers In Oncology、Orthopaedic Surgery、中华骨科杂志、中国骨与关节杂志等审稿人。

中国医学科学院肿瘤医院深圳医院骨科
医学博士 副主任医师
◆ 擅长领域:软组织肿瘤、骨肿瘤、黑色素瘤的外科治疗及综合治疗。
◆ 专家简介:从事骨与软组织肿瘤专科医、教、研工作多年,深圳大学硕士研究生导师,德国维滕贝格大学访问学者,获省级科技成果1项,省级科技进步奖1项,主持省级科研项目2项,发表专业学术论文15篇。
◆ 学术任职:广东省临床医学会肉瘤专业委员会委员。


当前位置 : 
