“腿疼腿无力”?有可能是这种凶险肿瘤!
作为一个合格的深圳上班族
久坐是生活常态
在工位上长期“虾系坐姿”伏案工作
坐着坐着……问题就来了
“腰酸腿疼屁股痛”

一般大家腰肌劳损、走路无力
都会想到“应该是累着了”
“长期久坐,腿部血液不流通”
平时多做些拉伸运动都能有所缓解

但要是久治不愈的四肢无力
除了有可能是脑卒中
还有这一种“罕见”的可能!

老陶(化名)是一名成功的商人,产业遍布东南亚,目前常驻越南。
2022年中,连续参加了几场重要会议的老陶,突然感觉自己的右腿走路时松软无力。想着自己也五十好几加上高强度的连轴转,老陶比较担心自己的脑血管出了问题。于是,他立即到当地医院神经外科就诊。
保险起见,老陶让医生把能做的检查都安排了一遍。查来查去,看到那么多检查报告无异常提示,一般人就觉得吃了颗定心丸,可是老陶凭借多年的“职业习惯”,还是心有余悸——

考虑到老陶独处异国他乡,老陶的子女们连夜给老陶安排了回国的机票。
回国后,老陶辗转了广州、上海的多个大医院,全身上下都检查了一遍,没找出来什么大问题——只在肠道里发现几个小息肉,又在脑中发现了两个小水囊肿。医生建议息肉割掉就行,脑部水囊肿不碍事,之后多注意补钙和运动即可。
*注:脑部水囊肿已存在几十年,距离神经还有距离,暂时没有发展到要干预的程度,定期随访即可。
于是,老陶每天雷打不动地坚持走路、慢跑、腿部拉伸,右腿无力的状况也慢慢消失了,家人们这才放心老陶继续驻扎越南搞事业。

2023年12月底的一天,老陶在做完下蹲动作后,右腿根部开始隐隐作痛。
由于之前冗杂的检查“还没查出啥”的经历,老陶这次边忍痛工作,边抽空上越南各大医院检查,查了脑神经、脊椎神经,检查结果都没什么问题。医生只能进行消炎止痛治疗。
然而,老陶吃了一段时间药,疼痛依然没有缓解,甚至出现加重的迹象。除夕来临之际,老陶正准备收拾下回国跟家人团聚。不料一个转身……
“咔嚓——”

清脆的响声从右腿屁股部位发出。之后,老陶发现自己走不了路,可能骨折了。
但诡异之处在于,在医院做了双侧髋关节X光片依然没有发现什么问题。老陶没办法,只能靠着止痛针在越南过了年。
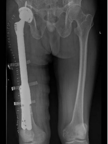
一味地止痛也不是长久之计,于是老陶又换了一家医院,这次复查髋关节X光片发现右侧股骨颈已断裂。这家医院立即给老陶做右侧髋关节置换手术。手术中发现股骨颈肿瘤,做了肿瘤刮除,但手术中股骨大段劈裂,随即行钢板螺钉固定+钢丝辅助固定。

回想起这些年自己的就诊经历,老陶很是懊悔:“腿无力不去看腿,一直看脑袋、颈椎,真是脑子进水了,哦……我脑子也确实有两个小水囊。”

切了瘤子,换了髋关节,事情总能告一段落了吧?然而,这个瘤子的来头可不小——老陶的病理结果显示,不仅是肿瘤,还是罕见的高度恶性的骨肉瘤。

~骨肉瘤小科普~
骨肉瘤又称成骨肉瘤,是一种恶性骨肿瘤,特点是肿瘤细胞可直接产生骨样组织。
其好发于青少年,好发部位为股骨远端、胫骨近端和肱骨近端的干骺端。常形成梭形的瘤体,可累及骨膜、骨皮质及髓腔,病灶切面呈鱼肉状,棕红或灰红色。
骨肉瘤主要症状为局部疼痛,多表现为持续性的疼痛,并逐渐加重,在夜间尤重。可伴有局部肿块,附近的关节活动受限,局部表面皮肤温度升高,静脉怒张等。

图源:Mayo Clinic

老陶得知病情后,出于对我国医学发展水平的信任,还是决定回国专心后续治疗。今年3月,老陶来到中国医学科学院肿瘤医院深圳医院就诊,挂了骨科主任许宋锋的号。
老陶:当时听到是骨癌,我也看了相关资料,知道其发展迅速,预后不佳,死亡率高。许宋锋是美国梅奥医学中心骨肿瘤科、美国哈佛大学麻省总院骨科等全球知名医院的高级访问学者,也是北京协和医院的硕士生导师,实力有“背书”,我要找他看病!
老陶在诊室直言,自己就是冲着许宋锋主任来的。
许宋锋主任初步分析:目前肿瘤仍有残余,右侧股骨劈裂,右腿比左腿长了2公分。唯一值得庆幸的是,癌细胞还没有大范围扩大。经过充分评估后,许宋锋主任建议老陶进行二次手术,扩大肿瘤切除范围,置换新的量身定制的假体。
4月中旬,饱受病痛折磨的老陶,迎来了第二次手术。
躺在手术床上,老陶看着护士一个个往手术室里搬箱子。“17个手术包,工作了这么多年,第一次见手术要用到这么多手术包。”护士对旁边的同事说。看出老陶紧张,护士安慰他:“没事的,这么多手术包,说明专家准备很齐全,你一定能顺利康复。”



[ 老陶的术前影像(左)与术后影像(右) ]
许宋锋主任评价老陶,是个意志力非常强的人:“他后面做化疗的反应其实挺大的,口腔溃疡非常严重,身上皮肤也烂了。我都觉得他可以等等再化疗,但到点他就来了。”
目前老陶已接受了5次化疗,在医疗团队的努力和他的自律下,身体恢复得不错。

在肿瘤医院,骨科是个“寂寞又强悍”的科室。因为来这个科室就诊的,基本上都是罕见病患者。
中国医学科学院肿瘤医院深圳医院骨科是开展骨、软组织及皮肤良恶性肿瘤手术为主的综合诊疗专科。目前,科室已开展皮肤恶性黑色素瘤、皮肤鳞状细胞癌、软组织肉瘤、骨原发肿瘤、骨转移瘤等外科手术为主的综合治疗。
骨科依托国家癌症中心南方分中心,联合放疗科、肿瘤内科、病理、影像、介入、麻醉、手术等多个专科开展多学科综合治疗(MDT)。此外科室还是中国抗癌协会恶性黑色素瘤临床研究分中心、中国医药教育协会骨与软组织肿瘤专委会秘书长单位、深莞惠骨肿瘤专科联盟副主委单位。
因为罕见,所以曲折。“像韧带样纤维瘤,可能在其他医院割了好几次才会被推荐到我们这来。其他的软组织肿瘤、黑色素瘤,一开始都没什么症状。”许宋锋主任介绍,骨肿瘤分类有50多种,软组织肿瘤就有70多种。
因为骨科诊治范围涵盖脊柱、四肢的骨和软组织、皮肤良恶性肿瘤和转移瘤,所以一般骨科肿瘤都有这些共性——“发病低,部位多,要求高”。对此,许宋锋主任表示:

▼ • 临床擅长: 从事骨科专业医教研工作20余年,擅长骨转移癌微创和手术治疗、软组织肉瘤化疗及手术治疗、脊柱肿瘤手术治疗、四肢肿瘤保肢手术治疗等。 • 专家简介: 北京常驻专家。美国梅奥医学中心(Mayo Clinic)骨肿瘤科、美国哈佛大学麻省总院(MGH)骨科、美国华盛顿癌症中心(WCI)骨肿瘤科、美国国立儿童医学中心(NCH)儿童骨肿瘤科高级访问学者。担任国际保肢协会会员、中国医药教育协会骨与软组织肿瘤专业委员会常委兼秘书长、中国抗癌协会肉瘤专业委员会软组织肉瘤学组委员、中国抗癌协会肉瘤专业委员会四肢肿瘤学组委员、中国抗癌协会肉瘤专业委员会微创学组委员、广东省临床医学学会肿瘤学专业委员会骨与软组织肿瘤学组委员等。主持省部级科研项目2项,主持厅局级科研项目2项;发表学术论文31篇,其中SCI期刊收录10篇;主编及参编出版专著6部,其中外文专著1部;参编临床指南2部;获省部级科技进步奖4项。 • 出诊时间: 专家门诊:周一、周三上午 特需门诊:周一下午


当前位置 : 

