低血糖、反复头晕,居然是罕见的癌! 硬“核”查癌神器来帮忙
52岁的王阿姨得了一种怪病
出现长期低血糖、反复头晕、浑身乏力
还曾因“晕倒”住进医院
进行“输注葡萄糖”等对症治疗后症状可缓解
但却未检查出其他原因
这种怪病困扰王阿姨大半年
一天偶然听到身边人发问
会不会是由肿瘤引起呢?
由于多次求医无果
王阿姨怀着忐忑的心情
来到国家癌症中心南方分中心
--中国医学科学院肿瘤医院深圳医院
经过多项常规检查
未见明显异常
但是,王阿姨头晕时血糖:2.27mmol/L,胰岛素:99.3uIU/mL,空腹胰岛素:14.6uIU/mL(正常值1.8-11.8uIU/mL),一发病胰岛素就会分泌异常导致血糖低。
敏锐的肿瘤医院医生结合实验室检查,考虑这是胰岛细胞异常引起的低血糖,胰岛细胞异常未出现形变或者病灶过小时,其他影像检查极其容易发生漏诊。
在医生建议下,王阿姨做了一个号称“查癌神器”的检查“PET/CT检查”。
不到二十分钟PET/CT就可以扫描全身
并可以从“各方位”、“多层面”检查有没有肿瘤
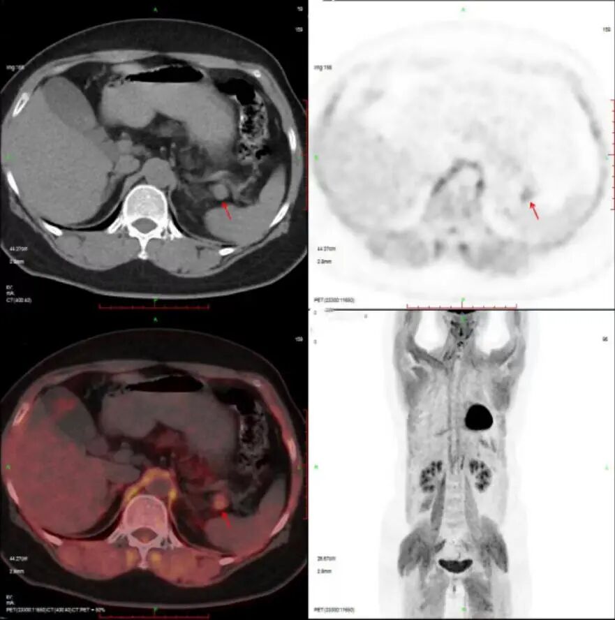
王阿姨PET/CT检查图像如下:

可从图像明显看出胰腺尾部高代谢结节,
结合王阿姨的其他化验、检查结果
考虑功能性胰岛细胞瘤(胰岛素瘤)
王阿姨立即在肝胆外科做了手术
手术病理结果证实了
果然就是“胰岛素瘤”在做怪

胰岛素瘤
01
胰岛素瘤发病率?
平均一年,100万人里面有1-4个人确诊该疾病
属于较罕见疾病
02
胰岛素瘤是恶性吗?
胰岛素瘤又称胰岛素β细胞瘤
是一种比较少见的来自胰岛β细胞的神经内分泌肿瘤
大部分胰岛素瘤的是良性
恶性占比不到6%
03
怎么判断是良恶性?
胰岛素瘤会引起胰岛素分泌异常出现低血糖
一般难以区分良恶性
可以通过PET/CT检查诊断
恶性者易有肝及邻近淋巴结转移且PET/CT存在高代谢
值得注意的是由于胰岛素瘤可能转为恶性
需要定期检查排除恶性可能
凭啥其他检查都检查不出
PET/CT一次就能检查出来呢?
PET/CT是将PET与CT完美融合一体的检查
CT扫描能对病灶进行精确解剖定位
而PET是一种先进的分子代谢功能影像
PET/CT需要注射一个硬“核”药物
18F-FDG
这个药物易被肿瘤细胞摄取
含肿瘤部位在PET/CT检查中会出现高代谢图像
其他影像检查没有发现的明显异常的隐匿病灶
硬“核”PET/CT检查都能发现
除了良恶性鉴别,它还可以...
1.锁定病灶,让穿刺一穿即中:
根据PET/CT显像的代谢情况,可选择最佳穿刺或切除活检部位,并完美避开肿瘤坏死区域等;
2.发现隐匿转移灶,精确分期:
PET/CT能够发现0.5cm及以上或者是形态学上未明显异常的隐匿性转移灶;
3.寻找恶性肿瘤残余同党,判断疗效:
在肿瘤放疗、化疗或靶向等治疗后残余的组织内是治疗后的纤维灶、坏死灶仅仅靠形态学改变难以预测,PET/CT就能根据是否代谢异常来判断是肿瘤残存还是治疗后的改变;
4.全面监测,发现早期复发病灶:
通过PET代谢异常增高,能早期发现微小的复发灶。
所以,PET/CT是更精准、更简单、功能性更强、范围更广的宝藏级检查手段。

-END-
来源 | 核医学科
编辑 | 党政办公室


当前位置 : 
