小宝宝,大勇气!——1岁娃罹患脑转移瘤,儿童放疗团队用实力与爱挑战不可能
提到儿童肿瘤——
“我就很少听说过孩子得肿瘤的。”
“孩子得了肿瘤,应该还早,不严重吧……”
根据世界卫生组织的统计,恶性肿瘤已经成为儿童死亡的第二大因素,仅次于意外。

《柳叶刀》在2024年首次公布了我国儿童(0-14 岁)和青少年(15-19 岁)的恶性肿瘤发病率:2018年1月1日至2020年12月31日,中国有超过121,145名儿童和青少年被确诊患有恶性肿瘤。
这意味着,我国平均每年新增近4万名儿童肿瘤患者!更令人担忧的是,发病率逐年攀升,且漏诊误诊病例不在少数……相较于成人,儿童较为高发的是白血病、脑瘤、淋巴瘤以及神经母细胞瘤,这些肿瘤细胞均有生长代谢旺盛的特点。 中国医学科学院肿瘤医院深圳医院放射治疗科就曾接诊过一位名叫囡囡(化名)的小女孩。1岁多的她,已经面临着神经母细胞瘤脑转移的严峻挑战。 2023年,囡囡因左眼肿胀、腹胀和持续发热症状在外院就诊,CT检查结果显示腹膜后、眶周及颅内多发占位。最终囡囡被诊断为——腹膜后神经母细胞瘤。
从确诊开始,囡囡一家人就踏上了漫漫治疗之旅。
3个月的化疗,紧接着腹部手术+放疗,治疗后复查,腹部和脑部肿瘤都消失不见,接着3个月的化疗巩固疗效……
正当家人信心满满,准备迎接后续的干细胞移植和免疫维持治疗,现实如当头棒喝,“儿童肿瘤之王”重现“NB”属性,磁共振检查显示囡囡颅内出现了新的转移灶……
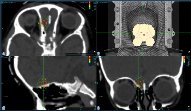
这意味着病魔已经突破了化疗方案的桎梏,而血脑屏障也将阻挡特效药GD-2单抗进入颅内,雪上加霜的是,这个新病灶离视神经和眼球非常近,常规的放疗技术无法避免视力和正常脑组织损伤。

[ 神经母细胞瘤主要分布区 ]
化疗药物耐药了,免疫治疗药物无法进入颅内,放疗又可能导致失明……“她只有1岁多,哪里才能让她安全有效地接受治疗?”前路近乎绝境,囡囡的父母陷入了深深的迷茫之中。
成人放疗和儿童放疗有何区别? 儿童肿瘤患者以脑部肿瘤、软组织肿瘤、淋巴肿瘤患者居多,绝大部分儿童肿瘤都是恶性肿瘤。相较于成人,儿童的放疗更为复杂—— 放疗时患儿需要单独待在治疗室,多数患儿会因为认知不足和情绪紧张出现很多意外情况,影响放疗计划正常进行。 “因此,确切有效的镇静措施非常必要。儿童放疗不仅需要考虑疗效,更需要考虑毒副反应对生长发育的影响,毕竟,让患者有质量有尊严地活着,才是我们医者施治的终极目标。” ——金晶教授 好在“天无绝人之路”,囡囡的父母经过多方打听后了解到,中国医学科学院肿瘤医院深圳医院有位顶尖的放疗高手——金晶教授。 ❶ 保障“后方资源”到位:参与儿童MDT团队讨论,精心筹备婴幼儿的专用设备耗材,包括儿童专用心电监护仪、氧气枕、儿童专用高压留置针、儿童专用呼吸球囊、小儿型吸氧管等等。 ❷ 维护治疗流程正常进行:从CT定位室到MR定位室,全程保障安全转运;在MR限制条件下,常规生命体征测量仪器无法带入磁共振室机房,确保深度镇静下囡囡的安全…… ❸ 确保机房内部“万无一失”:评估射波刀机头行走路径,正确安放监护仪,保障监护仪正常工作;射波刀放疗时,家属和工作人员都不能陪同,采取有效措施预防囡囡坠床等问题。 点滴环节,都凝聚了团队成员的心血与汗水,只为力求儿童放疗精准无误。金晶教授表示:“不论成人还是儿童,我们深知每一次治疗都是对生命的守护,也是对精准医学的追求。” 考虑到囡囡年龄太小,整个治疗过程中,医护团队特别注重人文关怀。技师长张寅介绍道: “我们特意为囡囡打造了一个温馨的儿童游乐室,让她能在熟悉的环境中感到安心。机房内也装饰了可爱的贴纸,以消除她的恐惧感。在等待治疗期间,我们会陪她一起做手账、看动画片,帮助她转移注意力,减轻不适。” [ 儿童游乐室 ] 对于囡囡的父母而言,这段时间无疑是充满焦虑和压力的。但好在他们不是一个人在坚持,医护人员经常主动地给予安慰和支持,向他们传递信心和希望:“一切都会好转的,对囡囡要有信心。” 面对病情的复杂性,既要充分保证疗效,又要保证尽量减少视神经和颅脑的放射性损伤,还要考虑儿童放疗配合度低的特点。 医疗团队不分昼夜,查阅并比对了多个权威指南,确保剂量选择和等效生物剂量计算的合理性和准确性,争取发挥射波刀“精准雕刻放疗”和“手起刀落”疗程短的优势。 “儿童患者放疗反应的发生率和严重程度与剂量密切相关,疗效与安全性需反复斟酌,针对神经母细胞瘤这种放疗高度敏感的肿瘤,脑转移局部病灶是否有必要参照常规脑转移指南,接受高剂量放疗值得商榷。” 更是囡囡生命毅力的证明 是患者、家属与医护人员 共同抗击癌症的胜利结晶 爱,能抵抗世间万难 更能书写生命奇迹 原中国医学科学院肿瘤医院放射治疗科副主任 原中国医学科学院肿瘤医院医务处处长 北京协和医院博士生导师 深圳大学、南方科技大学硕士生导师 中国医学科学院肿瘤医院深圳医院院长助理 放射治疗科主任 主任医师 医学博士 • 临床擅长: 擅长直肠癌、胃癌、肝与胰腺胆道系统肿瘤、乳腺癌、泌尿系统肿瘤、淋巴瘤和软组织肿瘤的规范化放射治疗和多学科综合治疗。熟练掌握国内外最新的放射治疗技术,如立体定向照射、图像引导调强放疗、质子/重离子放疗、靶向治疗与免疫治疗等。 • 专家简介: 致力于放射治疗和多学科综合治疗30余年。以第一作者/通讯作者发表文章百余篇,刊登于Journal of Oncology, JAMA子刊等期刊。牵头多项全国多中心临床研究,主持国家自然科学基金面上项目3项、北京市首发重点、北京市与深圳市多项临床与转化研究课题。在北京协和医学院、深圳大学招生、带教硕博士、博士后接近三十名。 • 出诊时间:周二上午、周四下午 放射治疗科 主任医师 放射治疗科病区主任 • 临床擅长: 儿童肿瘤如淋巴瘤、肾母细胞瘤、神经母细胞瘤及软组织肉瘤,鼻咽癌、宫颈癌及食管癌综合诊疗及放射治疗。 • 专家简介: 从事放射肿瘤学临床及教学工作三十余年。兼任中国抗癌协会近距离放射治疗专业委员会常委、中国临床肿瘤协会鼻咽癌专家委员会委员、广东省医院协会放射治疗科管理专业委员会副主委。 • 出诊时间: 专家门诊:周二下午、周三上午 特需门诊:周五上午 放射治疗科病区主任(头颈肿瘤专业组) • 临床擅长: 擅长鼻咽癌、口咽癌、下咽癌、口腔癌、鼻腔副鼻窦癌、脑原发肿瘤、其他头颈少见肿瘤(腺样囊腺癌、软组织肿瘤、嗅神经母细胞瘤、生殖细胞瘤、室管膜瘤、头颈部瘢痕)的综合治疗。 • 专家简介: 医学博士,毕业于北京协和医学院临床医学八年制,毕业后就职于中国医学科学院肿瘤医院放射治疗科,现为中国医学科学院肿瘤医院深圳医院放射治疗科头颈病区主任。 • 出诊时间:周一上午、周四上午 放射治疗科 副主任医师 • 临床擅长: 鼻咽癌等头颈肿瘤放疗联合免疫治疗、成人儿童脑肿瘤精准放疗、癌症晚期姑息放疗。 • 专家简介: 专注临床工作20多年,擅长鼻咽癌、口咽癌等头颈部肿瘤调强放疗,联合化疗、靶向和免疫治疗的综合应用;熟练掌握脑胶质瘤、室管膜瘤、生殖细胞瘤等脑肿瘤的TOMO和射波刀精准放疗;娴熟应用儿童肿瘤TOMO放疗,提供儿童质子放疗咨询;善于应用射波刀CyberKnife进行脑转移瘤SRS放射外科治疗,对癌症晚期姑息放疗具有丰富的临床诊治经验。 • 出诊时间:周二上午、周四下午
















当前位置 : 




