【深卫在线】深圳首例!完全腹腔镜下胰十二指肠切除手术
“只要一家人健健康康在一起,即使苦点累点,也是最幸福的生活。”
家住江西吉安的胡女士(文中均为化名)和爱人结婚20年,育有一双儿女,女儿今年参加高考,学习努力,儿子刚刚7岁,听话懂事。为了小孩有更好的发展空间,也为了更多的工作机会,2021年胡女士携家带口来深圳发展,充满着对未来的美好憧憬💫

可就在一个月前,胡女士的上腹开始了不间断地疼痛,小便的颜色更是变成了类似豆油的深黄颜色。
“真奇怪!我没有高血压、糖尿病,也不吸烟饮酒。大概是天太热了,喝水少了吧!”胡女士一边安慰自己,一边调养身体,但腹疼继续加重,尿色继续变深,她不得不去医院就诊。
01.幸福生活有弯道,“恶性肿瘤”找上门
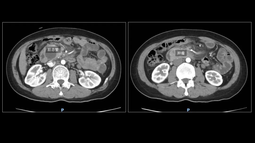
胡女士做完肝功能检测、腹部CT等检查后,结果显示——
“胆总管下段显示不清,可疑软组织密度影在其内,同时还伴有肝内外胆管的扩张及胰腺炎表现;上腹核磁提示壶腹部有一个肿块,肝内外胆管显著扩张,胰管也有增宽,考虑壶腹恶性肿瘤……”
壶腹占位
是导致背痛和尿色深黄的主要原因
可能得了非常严重的恶性肿瘤性疾病

△胡女士拍片结果
简直晴天霹雳!⚡
全家的生活刚刚迈上幸福的快车道,正准备踩下油门开始驰骋,却遇到这样的疾病!“该怎么办?是不是看不到听话的女儿上大学结婚了,是不是看不到可爱的儿子长大成人了……😭”
正在胡思乱想的胡女士,被一个刚做了结肠癌痊愈的热心朋友打断!“我去年做手术,很快就痊愈了!这家医院胃肠外科医疗技术很高,北京总院胰胃外科专家长期留驻科室指导工作,推荐你去看看。”
胡女士将信将疑,决定去这家专业医院(即“中国医学科学院肿瘤医院深圳医院”)彻底查一查,看到底要怎么治疗。
02.壶腹恶性肿瘤?一个陌生的名词带来的恐惧
入院后检查,最终确诊为“壶腹恶性肿瘤”。光是听名字,就能够感受到手术的复杂。
医学上,这个部位的肿瘤不但恶性程度高,而且位于胆道、肠道、胰管汇合的中心,是人体消化系统的交通要道。手术需要切除胰腺、胆总管、胃、十二指肠和部分空肠等,随后做胰肠吻合、胆肠吻合和胃肠吻合,俗称“四切三吻”。
胡女士偷偷上网搜索这个手术,网上“病友”说手术疼痛难忍、术后创伤大、恢复慢。特别是手术后还要留下20多厘米的、巨大的手术疤痕,一想到这些胡女士就不寒而栗,充满了恐惧

中国医学科学院肿瘤医院(北京总院)胰胃外科专家郭春光教授在了解胡女士的顾虑后,和蔼解释道“传统开腹手术确实需要比较大的切口,损伤大,疼痛明显。但随着外科手术的进步,可以采用腹腔镜技术完成整个胰十二指肠切除和消化道重建,最终在腹壁上只会留下很小的切口(通常小于6cm)取出标本”。

△参考手术照片(慎点大图)
03.两地三位教授协作,“小切口”完成大手术
经过周密的术前讨论,胃肠外科的陈主任和郭主任一起为胡女士制定了详细的手术方案,明确了手术细节,准备行「完全腹腔镜胰十二指肠切除术」。

△胰十二指肠切除术示意图
如果说在手术难度上
“胰十二指肠切除术”
是普外科手术里的珠穆朗玛峰
那么“完全腹腔镜胰十二指肠切除术”
则是珠峰上的明珠💎
它需要术者团队对解剖的透彻理解和深厚的手术技艺,对医生团队的熟练配合和医院保障体系都有更高的要求。目前,该术式仅限于国内大型医学中心开展。
为保证手术成功,中国医学科学院肿瘤医院深圳医院特地邀请到同期派驻肝胆外科的总院专家周教授联袂参加,并由麻醉科孙主任主持麻醉。多学科专家加持,手术成功有了更多的保障。

△多位专家加持

术中,胡女士的解剖分离异常复杂,由于此前肿瘤堵塞胰管造成胰腺炎,组织水肿、渗出多,结构不清,为手术造成了很大困难。手术中也屡遇险情,好在几位专家经验丰富,最终化险为夷。
历经多位专家8个小时共同努力,手术成功!

苦苦等待一天的家人看到胡女士安全推出手术室时,终于长舒了一口气。

为保证康复顺利,手术团队秉承国际先进的快速康复理念,采用术后不留置胃管,个体化给药等措施,帮助胡女士减轻病痛。
在上述措施的助力下,胡女士术后第1天就在病床上活动,第2天下地行走,整个恢复过程非常顺利,未出现任何并发症。
04.“三名工程”专家常驻,深圳医疗水平up!
据悉,腹腔镜下胰十二指肠切除手术在深圳较少开展,而切除和吻合都在腔镜下进行的完全腹腔镜胰十二指肠切除术,在深圳地区尚属首例。
北京总院专家来深圳为肿瘤患者手术,不仅纾解患者异地就医的困难,更是助力本地医疗水平的提高,这也得益于深圳医院“三名工程”项目的开展与推动。
什么是“三名工程”?

高水平的医疗服务与周到的优质护理,是提高人民健康水平的重要保障。
近年,中国医学科学院肿瘤医院深圳医院引进多个“三名工程”团队,特别是国家癌症中心/中国医学科学院肿瘤医院的王锡山教授领衔的“三名工程“专家团队常驻胃肠外科,大力促进了深圳地区结直肠肿瘤外科微创化发展,有效提高了深圳地区疑难病例的诊治水平。
其中,深圳医院胃肠外科以结直肠癌和胃癌为诊疗重点,涵盖小肠肿瘤、腹腔及后腹膜恶性肿瘤治疗,提倡多学科综合治疗,中晚期肿瘤患者开展MDT治疗模式,为结直肠癌及胃癌的新辅助化疗、放疗,靶向治疗、介入等治疗提供最佳治疗方案。



当前位置 : 
